
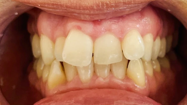
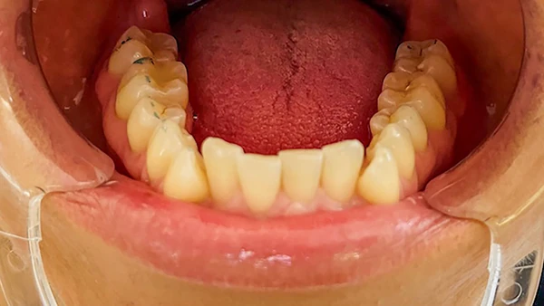
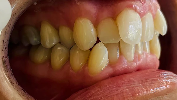
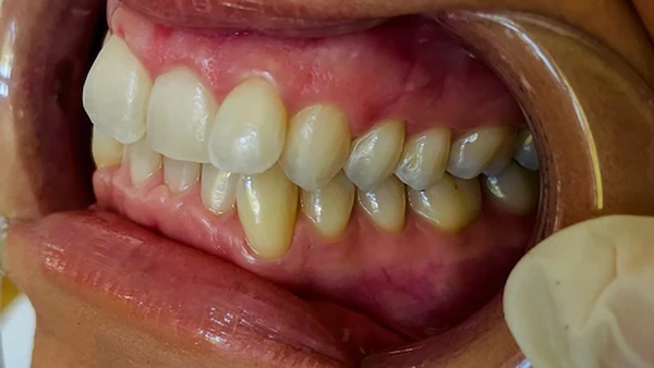
Fallbeispiel aus unserer Praxis: Wie aus überlappenden Zähnen wieder eine harmonische Zahnreihe wird.
Ein Zahnengstand ist nicht nur ein ästhetisches Thema. Wenn Zähne überlappen, verdreht stehen oder außerhalb der Zahnreihe wachsen, kann das auch die Zahnpflege erschweren. Gleichzeitig empfinden viele Patient:innen die Fehlstellung – besonders im sichtbaren Frontzahnbereich – auch optisch als störend.
Unser Fallbeispiel zeigt, wie wir diese Zahnfehlstellung mit einer modernen ClearCorrect®-Aligner-Therapie erfolgreich behandeln können.
Zum Inhalt springen







